Última Hora

En PR insisten en placa de pecho, pero no es recomendada para diagnosticar COVID-19

Por Jaane Coooper Mar 19, 2020
0
Escuchar
Guardar
En PR insisten en placa de pecho, pero no es recomendada para diagnosticar COVID-19

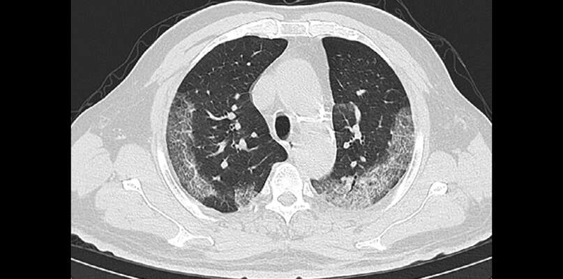
El método más certero para diagnosticar es la prueba de laboratorio, dice el CDC.

El Centro para el Control y Prevención de Enfermedades, (CDC por sus siglas en inglés), y el American College of Radiology (ACR), establecieron que no recomiendan el uso de placa de pecho o CT (Computerized Tomography) para el diagnóstico de COVID-19, así lo confirmó el jueves el doctor Gory Ballester, radiólogo certificado y presidente de la Sociedad Radiológica de Puerto Rico y del ACR, capítulo de Puerto Rico.

“La prueba de laboratorio para el COVID-19 es la única que es específica para su diagnóstico. Un CT o placa de pecho no sustituye de ninguna manera la prueba de laboratorio. Con el CT se ve si hay enfermedad en el pulmón o pulmonía en general, pero la causa especifica no se puede diagnosticar”, indicó en comunicación escrita el doctor Guido Santacana Laffitte, radiólogo certificado, especialista en imágenes de pecho.

“La confirmación del virus con la prueba de laboratorio es requerido, no importa que la placa de pecho o el CT sean sugestivos para COVID-19. Sabemos que no hay cura hasta el momento, pero es sumamente importante saber quién tiene y no tiene la enfermedad en cuanto a la salud pública del país. De esta manera, se pueden tomar las medidas necesarias para tratar y aislar aquellos que tienen la enfermedad, protegiendo al resto de la población”, añadió el doctor Ballester.

“Por tal motivo, es importante tener acceso a la prueba de laboratorio para el diagnóstico del COVID-19. El CT se debe utilizar con cautela y ser reservado para pacientes hospitalizados con indicaciones específicas para CT”, concluyó el doctor Santacana Laffitte.

Estas expresiones contrastan con las que hicieron varios profesionales de la salud en el programa Jugando Pelota Dura por Univisión el pasado martes, que, a ausencia de capacidad para trabajar pruebas de laboratorios, insisten en que una placa de pecho basta para diagnosticar coronavirus y distinguirlo de otras enfermedades respiratorias.

El CDC recomienda que toda persona con síntomas llame a su médico o a la línea de consulta y orientación establecida por el gobierno (787) 999-6202. Las personas no deben ir directo a las salas de emergencia. Así se protege al paciente, como al resto de la población.

Mire el vídeo de los médicos en Jugando Pelota Dura aquí:

Comentarios {{ comments_count }}

Añadir comentario
{{ commentSize }}/500
{{ error }}
{{ article.author }}
Premium
{{ article.postedAt }}
Mostrar {{ article.child_count }} respuestas
{{ article.like_count }}
{{ commentSize }}/500
{{ error }}
{{ child.author }}
Premium
{{ child.postedAt }}

{{ child.content }}

{{ child.like_count }}
{{ error }}

Opiniones

Opiniones May 14, 2026

¿Qué son los Therians?

0
Opiniones May 11, 2026

Saber responder puede salvar una vida

0

Opinión y Comentarios

Lic Alexis Quiñones

Abogado

Adriana Sánchez

Derecho y deporte

Dra. Bárbara D. Barros

Salud Mental & Menopausia

Brian Díaz

Presidente & Fundador Pacifico Group

José Julio Aparicio

Política y derecho

Carlos Johnny Méndez Núñez

Presidente Cámara de Representantes

Dennis Dávila

Cine

Lic Eddie López Serrano

Abogado y analista político

González Pons MD

Médico radiólogo

Hon. Gabriel “Gaby” Hernández

Alcalde de Camuy y presidente de la Federación de Alcaldes

Heriberto N. Saurí

Salud y emergencias

Lic Jaime Sanabria

Profesor de derecho

Kiara Gerena

Energía Renovable

Laureano Giraldez MD

Otorrinolaringología y Cirugía de Cabeza y Cuello

Moises Cortés

Consultor Financiero

Dra. Natalie Pérez Luna

Orlando Alomá

Gerente de Proyectos en un Startup

Oscar J. Serrano

Periodista Editor

Tomás Ramírez

Dr. Ronald Collazo Pagán

Ramón L. Rosario Cortés

Política y derecho

Thomas Rivera Schatz

Presidente del Senado de Puerto Rico

Víctor García San Inocencio

Política y justicia

Luisito Vigoreaux

Columnista Cultural y de Entretenimiento

William Maldonado

Economista y Estratega Financiero

Bienvenido a Noticel

Empieza a crear una cuenta

{{ errors.firstname }}
{{ errors.lastname }}
{{ errors.email }}
{{ errors.password }}

Debe tener al menos 8 caracteres de longitud.

Debe contener números y letras.

No puede comenzar ni terminar con un espacio
{{ errors.password_confirm }}
¿Ya tienes una cuenta? Acceso
Haz clic en "Comenzar" para aceptar los Términos de servicio de Noticel y reconocer que la Política de privacidad de Noticel se aplica a ti.

Verificación de cuenta

Te enviaremos un correo electrónico con un enlace para verificar tu cuenta. Si no lo ves, revisa tu carpeta de correo no deseado y confirma que tienes una cuenta vinculada a ese correo.

Has olvidado tu contraseña

Introduce el correo electrónico de tu cuenta y te enviaremos un enlace para restablecer la contraseña.

{{ errors.email }}

Has olvidado tu contraseña

Le hemos enviado un correo electrónico a {{ email }} con un enlace para restablecer su contraseña. Si no lo ve, revise su carpeta de correo no deseado y confírmeme que tiene una cuenta vinculada a ese correo electrónico.

Personaliza tu feed

Verifica que tu dirección de correo electrónico sea correcta. Una vez completado el cambio, utiliza este correo electrónico para iniciar sesión y administrar tu perfil.

Elige tus temas

  • Deportes
  • Economía
  • El Tiempo
  • Entretenimiento
  • Más
  • Noticias
  • Opiniones
  • Última Hora
  • Vida y Bienestar
  • Videos y Fotos
Perfil actualizado.